Load

Load

본문 바로가기
Home> 관절센터 >어깨

어깨

관절센터

어깨관절

세계가 인정하는 의학기술을 가진 관절·척추병원 바른마디병원
  • 회전근개봉합술
  • 인공관절 수술
  • 석회제거술
  • 오십견수술

회전근개봉합술이란?

비정상적으로 돌출된 견봉 골극을 정리한 후, 파열된 회전근개를 봉합하여 원래 상태로 복원하는 수술입니다.
피부를 절개하여 접근하거나, 작은 절개 후 관절경 기구를 삽입하여 수술이 가능합니다.
복원이 불가능한 회전근개의 광범위한 파열의 경우, 어깨 부위의 역 어깨관절 치환술을 시행할 수 있습니다.

아래화살표

회전근개가 파열된 경우 파열의 정도에 따라 치료는 달라집니다.
부분적인 파열은 비수술적 방법으로 치료를 시행하며, 비수술적 치료로 증상의 개선이 없는 경우에는 수술로 치료합니다.

회전근개손상

회전근개는 어깨 주변을 덮고 있는 4개의 힘줄을 통칭하며, 어깨를 지탱해주고
팔을 들어올리는 등 어깨의 운동을 원활하게 해주는 기능을 합니다.

이러한 현상은 비정상적인 힘이 가해지거나 퇴행성 변화로 인해 생기며,
약해지면서 회전근개가 파열되며, 가장 흔한 어깨 통증의 원인 중 하나입니다.

힘줄이 파열되면 극심한 통증과 관절 운동의 제한이 나타나며, 근력이 약해지는 특징이 있어
오십견과 감별이 필요합니다. 다만, 파열의 정도와 통증의 정도가 반드시 일치하지 않기 때문에
전문의의 진료 하에 적절하게 진단되지 않을 시에 병이 악화될 수 있습니다.

회전근개파열
회전근개 파열 MRI

회전근개가 손상되면 나타나는 증상

  • 팔을 들어 올리거나 특정 동작에서 통증이 악화되는 경향이 있습니다.
  • 밤에 잘 때 더욱 아파집니다.
  • 파열이 커진 경우, 팔을 들어올리는 힘이 약화되는 경우가 있습니다.

회전근개손상 치료방법

초기의 파열인 경우 주사치료 및 충격파를 포함한 재생치료를 시도할 수 있습니다.
만약 파열의 크기가 커지거나 재생치료로 힘줄의 상태가 복원되지 않는 경우,
부분 마취하에 관절 내시경을 이용한 힘줄 봉합술이 필요합니다.

회전근개파열 회전근개봉합

인공관절수술이란?

인공관절 수술은 연골 파열이나 퇴행성 변화로 인해 관절이 닳거나 손상된 경우,
손상된 부위를 제거한 후 인공관절로 대체하는 수술 방법입니다.
연골 손상이 지속되면 움직이지 않아도 통증이 발생할 수 있으며, 약물치료, 주사치료, 물리치료에도
증상이 호전되지 않는 관절염 말기 환자나 무혈성 괴사 환자에게 시행됩니다.

아래화살표

연골 손상이 지속되면 가만히 있을 때도 통증이 발생하여 약물치료나 주사치료, 물리치료로도
증상이 호전되지 않은 관절염 후기 환자나 무혈성괴사환자에게 적용
합니다.

인공관절 수술방법

관절내시경

관절내시경은 무릎과 어깨뿐만 아니라 최근에는 팔꿈치, 손목, 발목 등 작은 관절에서도 관절 질환을 진단하고 치료하는 데 매우 유용한 방법입니다.

약 5mm 정도의 작은 피부 절개를 통해 초소형 카메라와 수술 도구가 장착된 내시경을 관절 내부로 삽입하여 병변을 직접 확인한 후, 치료 방법을 결정하여 병변을 제거하거나 복원하는 치료를 시행합니다. 절개가 거의 없어 제한된 부위 내에서 수술이 이루어지므로, 난이도가 높은 경우가 많아 반드시 숙련된 내시경 전문의에게 수술을 받아야 만족스러운 결과를 기대할 수 있습니다.

    장점
  1. 추가적인 마취나 복잡한 준비 없이 시술 가능
  2. 피부 절개가 거의 없어 입원 기간이 짧고 회복 속도가 빠름
  3. 부작용 위험이 낮고, 재발 가능성이 적음
  4. 자기 관절을 최대한 보존할 수 있어 통증이 적음
  5. 절개 부위가 작아 고령 환자도 부담 없이 수술 가능

인공관절 수술

어깨 인공관절 수술 후

어깨 인공관절 수술 후 이미지
    장점
  1. 통증을 줄이고 관절 운동을 원활하게 할 수 있도록 검증된 치료법
  2. 최신 신소재를 활용한 인공관절은 마모가 적어 수명이 더욱 길어짐
  3. 여성 맞춤형 인공관절이 개발되어 통증을 줄이고 회복 시간을 단축해 여성 환자의 만족도를 높임
  4. 무릎뿐만 아니라 엉덩이관절(고관절), 어깨, 팔꿈치, 발목 등에도 인공관절 치환술을 시행

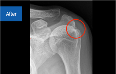
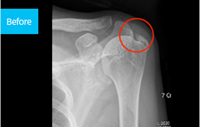
석회제거술이란?

퇴행성 변화로 인해 어깨 힘줄 세포가 괴사하면서 그 조직에 석회질이 침착하게 됩니다.
이로 인해 발생하는 질환인 석회성 건염의 치료 방법 중 하나가
석회성 물질을 제거하고 염증 부위를 절제하는 ‘석회제거술’입니다.

아래화살표

바른마디병원에서는 환자분에 맞게 1:1 맞춤 시술을 하고 있습니다.

석회화건염

어깨의 회전근개(힘줄) 주변에 석회 물질이 생성되어 극심한 통증을 유발하는 질환을 말합니다.
주로 40~50대 이후 여성에게서 발생하며, 이는 어깨 힘줄의 퇴행성 변화와 관련이 있습니다.

발병 기전은 명확하지 않으며, 복합적 요인으로 인해 발생하는 것으로 추정됩니다.

석회화건염 증상

석회제거술 , 이런 분들께 필요합니다!

  • 아이콘1 팔이 욱신거리는 통증이 있으며,
    앞이나 옆으로 들어 올리기 어려운 경우가 많습니다."
  • 아이콘3 밤에는 통증이 심해 숙면이 어렵고,
    낮에는 통증이 비교적 덜합니다.

석회화건염 치료방법

1 ) 증상이 미약한경우
진통 소염제, 주사 치료, 충격파 치료 등을 고려할 수 있습니다.

2 ) 증상이 심해지는 경우
일상생활에 지장을 줄 정도로 통증이 심하거나, 보존적 치료로 호전되지 않는 경우에는
부분 마취 후 관절 내시경 시술을 통해 석회를 제거하는 치료를 시행해야 합니다.

회전근개파열 회전근개봉합

오십견이란?

어깨 관절을 둘러싸고 있는 ‘관절낭’이라는 섬유주머니에 염증이 생기고
유착(달라붙음)이 발생하여 어깨 움직임이 제한되는 현상입니다.

아래화살표

어깨 관절에 특별한 질환이 없음에도 불구하고, 능동적 또는
수동적 운동 장애가 발생하며 극심한 통증이 동반됩니다.

오랜 기간 어깨를 움직이지 않거나, 당뇨병이 있는 경우 더욱 쉽게 발생할 수 있습니다.

오십견 증상

오십견 수술, 이런 분들께 필요합니다!

  • 아이콘1 팔을 들어 올리기 어렵습니다.
  • 아이콘2 뒷주머니에서 지갑을
    꺼내기 어렵습니다.
  • 아이콘3 밤에 잠잘 때
    통증이 심해집니다.

오십견 치료방법

약물 치료와 주사 요법을 포함한 도수 치료가 관절 회복을 위한 기본적인 치료법입니다.
이러한 치료로도 증상이 개선되지 않는 경우, 마취 후 도수 조작술이나 관절경을 이용한 시술을 시행할 수 있습니다.

관절내시경이미지

관절내시경

관절 내시경은 무릎과 어깨뿐만 아니라 팔꿈치, 손목, 발목 등 작은 관절의 질환까지 진단과 치료를 동시에 할 수 있는 매우 유용한 방법입니다.

약 5mm 정도의 피부 절개를 통해 초소형 카메라와 수술 도구가 부착된 내시경을 삽입하여, 관절 내부의 병변을 확인한 후 이를 제거하거나 봉합하는 치료를 진행합니다. 절개가 거의 없어 제한된 부위 내에서 수술을 시행하기 때문에 수술의 난이도가 높은 경우가 많이 있어 반드시 숙련된 내시경 전문의에게 수술을 받아야 만족할 만한 결과를 보장할 수 있습니다.

    장점
  1. 추가적인 마취나 특별한 준비 없이 치료가 가능합니다.
  2. 피부 절개가 거의 없어 입원 기간이 짧으며, 회복이 빠릅니다.
  3. 부작용이 적고 재발률이 낮습니다.
  4. 정상 관절을 최대한 보존하여 주며, 통증이 적습니다.
  5. 절개 부위가 작아 고령의 환자에게도 부담 없이 수술이 가능합니다.
체외충격파이미지

체외충격파

퇴행성 변화가 있는 근골격계 질환, 힘줄 파열 및 염증, 석회화 건염 등에 대해 충격파 장비를 이용한 고주파 치료를 시행합니다.

충격파 장치 내부에서는 압·음극 전기가 흘러 강한 압력이 발생하며, 이를 병변 부위에 집중적으로 전달해 통증을 완화하고 혈액 공급을 촉진하는 효과가 있습니다. 이 충격파는 주변 조직에 대한 혈액 공급을 촉진시키고, 뼈와 주변 조직을 자극하여 통증을 완화시켜 어깨 기능을 향상시켜 주는 치료이기도 합니다.

    특징
  1. 치료 시간은 약 15~20분 정도입니다.
  2. 질환에 따라 시술 횟수가 다릅니다.
  3. 피부 절개 없이 시술이 이루어져 비교적 안전합니다.
  4. 치료 후 빠른 통증 완화 효과를 기대할 수 있습니다.

침착된 석회가 치료 후 없어진 모습

before img after img