Load

Load

본문 바로가기
Home> 뇌신경센터 >뇌신경센터 검사

뇌신경센터 검사

뇌신경센터

뇌신경센터 검사

세계가 인정하는 의학기술을 가진 관절·척추병원 바른마디병원

바른마디병원 뇌신경센터 검사

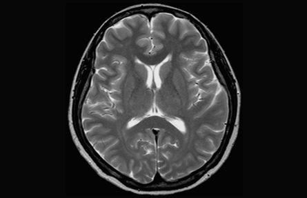
  • 뇌 MRI

    뇌의 구조를 자세하게 보는 검사

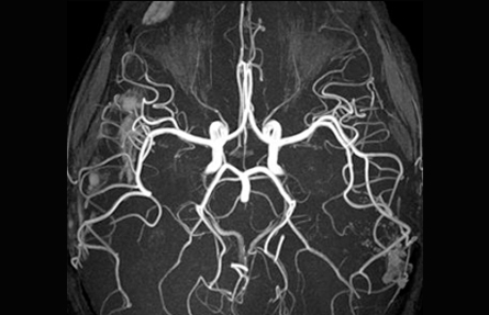
  • 뇌 MRA

    뇌 혈관의 이상 유무를 보는 검사

  • 비디오 안진 검사 (Video Frenzel Glass)

    안진(안구의 움직임)을 보는 두통/어지럼증의 기본 검사

  • 뇌혈류 초음파 (TCD)

    뇌 혈류 속도 및 방향을 보는 두통/어지럼증의 기본 검사

  • 경동맥 초음파

    뇌졸중 예방을 위해 동맥경화 또는 경동맥을 확인하는 검사

  • 신경전도 검사 (NCS) / 근전도 검사 (EMG)

    팔/다리의 말초신경 및 근육에 자극을 주어 반응을 보는 검사

  • 순목반사 검사 (Blink Reflex Test)

    안면신경 및 삼차신경의 반응을 보는 검사

  • 전정유발근전위 검사 (VEMP)

    전정 및 이석기관의 반응을 보는 검사

  • 시각/청각유발전위 검사 (VEP, BAEP)

    시각/청각경로의 반응을 보는 검사

  • 인지기능검사(기억력 검사)

    건망증/기억력 저하가 있는 사람의 인지기능을 평가

바른마디병원 신경계 관련 혈액 검사

혈액검사

뇌졸중 위험인자 선별검사, 염증/감염 표지자, 호르몬, 호모시스테인, 비타민, 유전자 검사