Load

Load

본문 바로가기
Home> 뇌신경센터 >치매 예방검진

치매 예방검진

뇌신경센터

치매 예방검진

세계가 인정하는 의학기술을 가진 관절·척추병원 바른마디병원

치매 예방검진이란?

치매는 기억력, 사고력, 판단력 및 학습 능력 등 정신 기능이 점진적으로 저하되는 질환을 의미합니다.
일반적으로 치매의 증상으로는 기억 상실, 언어 사용 문제 및 활동 수행 문제, 성격 변화,
지남력 상실 및 파괴적인 행동 또는 부적절한 행동을 들 수 있습니다.

아래화살표

우리나라 65세 이상 어르신 10명 중 1명이 치매입니다. 치매는 위험인자를 찾아냄으로써 예방이 가능하며,
이미 기억력 저하가 심한 경우에도 적절한 치료를 통해 진행을 늦출 수 있습니다.

건망증·경도인지장애·치매

건망증

노화에 따른
정상적 범주 내에서의
기억력 저하

경도인지장애

기억력 검사를 해보면
기억력 저하가 객관적으로 확인되지만,
아직 사회생활 및 일상생활을
하는 데 큰 문제가 없음

치매

기억력 저하가 심각하여
다른 사람의 도움 없이는
일상생활을 할 수 없는 단계

경도인지장애
자가진단
  • 기억력의 저하를 느끼는 경우 (들었던 말을 자주 잊게 되는 모습, 소지품을 두고 찾지 못하는 모습 등)
  • 단어가 생각나지 않고 글을 읽어도 내용이 생각나지 않아 반복해서 읽어야 하는 경우
  • 방향 감각이 저하되어 알고 있던 길이 혼동되는 경우
  • 계산 능력의 저하를 보이는 경우 (거스름돈 계산이 빨리 되지 않는 모습)
  • 성격이 달라지는 경우 (외출이 싫어지고 만사 귀찮거나 혼자만 있고 싶은 모습)

치매의 원인질환

치매 원인질환 설명

치매의 원인 질환에는 알츠하이머병, 혈관성 치매, 루이소체 치매, 전측두엽 치매 등 다양합니다.

따라서 전문의의 상담을 통해 현재 인지기능(기억력)에 대한
정확한 평가 및 개개인이 가지고 있는 위험인자를 찾아내는 것이 중요합니다.

예방검진 항목

기억력(인지기능) 검사, 우울증 평가 검사, 뇌 MRI, 뇌 MRA,
혈액검사(혈관성치매 위험인자 검사, 염증 및 감염 표지자, 호르몬, 비타민, 유전자 검사)

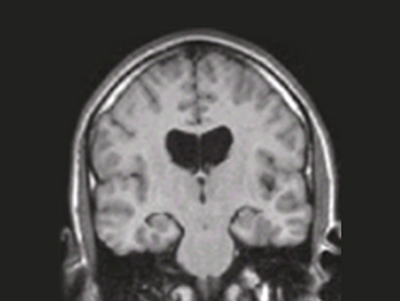
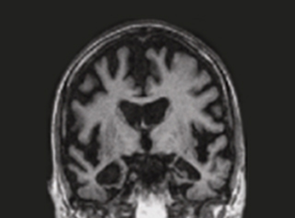
정상 뇌 영상 치매 환자 뇌 영상

정상뇌

치매 환자

치매
예방하기

  1. 01고혈압, 당뇨, 고지혈증, 심장병을 꾸준히 관리한다.
  2. 02뇌졸중이 의심되면 즉시 전문의의 진찰을 받는다.
  3. 03흡연을 하지 않고, 과음을 피한다.
  4. 04호기심과 배우려는 의욕을 항상 가진다.
  5. 05손과 머리를 사용하는 취미 생활을 꾸준히 가진다.
  6. 06운동은 최소한 주 2회 이상, 30분 이상 한다.
  7. 07우울증이 있다면 치료를 받고 대인 관계를 잘 유지한다.