Load

Load

본문 바로가기
Home> 관절센터 >족부

족부

관절센터

족관절

세계가 인정하는 의학기술을 가진 관절·척추병원 바른마디병원
  • 최소침습 무지외반 교정술
  • 발목 인대 봉합술
  • 관절경 연골 재생술
  • 족저근막 유리술

B-ita (바른마디병원 미타)
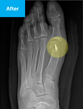
최소침습 무지외반 교정술이란?

경증에서 중등도의 무지외반증 환자를 대상으로,
환부에 약 2mm 크기의 구멍을 2~4개 뚫어 변형된 뼈를 교정하는 수술법입니다.

아래화살표

부분마취 후 최소 2mm 최소 피부절개(구멍2~4개)를 시행한 뒤, 실시간 방사선 영장장치 보면서
특수 기계를 넣어 변형된 뼈를 세밀하게 절골하고, 절골한 뼈를 올바른 배열로 배치합니다.

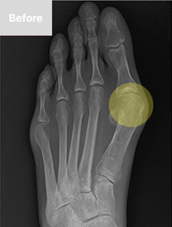
무지외반증

무지외반증

무지외반증이란 볼이 좁은 신발이나 하이힐을 자주 착용하는 여성에게서 주로 발생하며,
엄지발가락이 바깥쪽으로 휘어 관절 부위가 돌출되는 족부 질환입니다.

돌출된 엄지발가락으로 인해 걷는 데 불편함을 느끼고, 외관상으로 보기에도 좋지 않으며, 통증이 발생할 수도 있습니다.

무지외반증 치료방법

발가락 변형 정도에 따라 B-ita(바른마디병원 미타) 수술 혹은 근위부 교정술로 수술이 진행됩니다.

B-ita (바른마디병원 미타)

기존 절개교정수술

  • 기존 절개교정수술
  • 5~10cm
  • 필요
  • 극심한 통증
  • 느리다
  • 많다
  • 높다
  • 회복기간 필요

B-ita(바른마디병원 미타)

  • B-ita 바른마디병원 미타 최소침습 수술
  • 2~4mm
  • 불필요
  • 적다
  • 빠르다
  • 적다
  • 낮다
  • 빠른 복귀

근위부 교정술

무지외반증 근위부 교정술은 엄지발가락의 변형이 말기로 진행된 경우에 시행하는 수술법으로,엄지발가락의 발등 쪽 내측 관절낭을 절개하고 돌출된 부분을 제거하는 방식입니다.

    특징
  1. 변형이 심하지 않은 경우 시행하는 방법
  2. 하반신마취로 양쪽 발을 한 번에 수술
  3. 원위부 교정술보다 수술 후 미관상 우수한 효과
  4. 단기 입원이 가능해 빠른 일상 복귀가 가능 (한쪽: 4일 / 양쪽: 7일)

발목 인대 봉합술이란?

관절 내시경을 이용하여 찢어진 인대를 봉합하거나, 손상된 인대를 보강하는 수술입니다.
파열되거나 손상된 인대를 접합하는 수술로 발목 통증이 보존적 치료로 호전되지 않고 지속되거나 반복적으로 발목을 접질릴 경우,
파열이나 변형 정도에 맞는 수술을 시행하여 건강한 인대의 기능을 회복하고 보강하는 치료입니다.

아래화살표

인대봉합술은 파열된 인대를 본래 해부학적 위치해 봉합해주는 수술방법으로 다치기 전과 동일한 기능회복이 가능합니다.

발목인대파열

흔히 발목을 삐었다, 인대가 늘어났다고 말하는 경우 대부분 외측 인대 손상이 많습니다.
인대 손상은 운동에 따라 나누어 인대의 파열이 발생하기도 합니다.
발목 인대가 손상되었을 때 제대로 치료하지 않으면, 방치되거나 회복되지 않으면,
인대는 제 기능을 발휘하지 못하고 발목 관절 불안정성으로 인해 만성 통증이 발생하게 됩니다.

뿐만 아니라 발목 내부에 위치한 뼈가 서로 부딪히게 되고, 연골을 함께 손상시킬 수도 있습니다.

발목인대파열
인대파열 MRI

발목 인대가 파열되면 나타나는 증상

  • 접질린 발목 부위가 붓고 통증이 생깁니다.
  • 발을 디딜 때 불안정함을 느낍니다.
  • 심할 경우 다치는 순간 인대가 파열되며 찢어지는 소리가 날 수 있습니다.
  • 만성화될 경우 장시간 보행 시 발목 통증이 있고, 양반다리를 하기 어려울 수 있습니다.

발목인대파열 치료방법

발목 인대 파열 정도에 따라 치료방법이 다르게 진행됩니다.

  • 급성
    발목인대파열

    급성 발목 인대 파열의 경우
    냉찜질과 압박, 하지를 거상하면서
    안정을 취하고, 통증이 지속되면
    부목으로 고정합니다.

  • 파열정도가
    심하지 않은 경우

    인대 파열의 정도가
    심하지 않은 경우 보조기를 착용하고,
    비골근 강화 운동 요법
    등을 통해 치료합니다.

  • 파열정도가 심하거나
    반복 파열의 경우

    인대 파열의 정도가 심하거나
    반복되는 파열로 인해 불안정성이
    남는 경우, 인대 봉합술이나
    인대 재건술을 시행하기도 합니다."

관절경 연골 재생술이란?

연골이 손상된 부위에 미세한 구멍을 내어 흘러나온 골수세포가 결손 부위를 감싸
재생하도록 유도하는 치료법
으로 연부 조직의 손상이 거의 없으며,
수술 후 통증이 적다는 장점이 있습니다.

특수 약물(순수 분리 정제된 생체 친화적 바이오 콜라겐)을 치료 부위에 직접 사용하여
손상된 조직(연골, 인대, 힘줄 등)의 재생을 촉진하고 강화합니다.

아래화살표

관절경은 손상된 관절 부위에 가느다란 내시경을 삽입하여 어깨, 무릎, 발목 관절 내부를 확인하고, 손상된 질환을 연결된 모니터 화면을 보면서 진단이 가능합니다.

발목연골손상

발목연골손상

발목 인대가 손상되었을 때 적절한 치료 없이 방치하면 회복되지 않거나
갑작스런 외부충격으로 인해 연골 손상이 발생합니다.

손상된 연골은 자연적으로 재생되지 않기 때문에 반드시 재생 치료를 받아야 관절염 진행을 예방할 수 있습니다.

발목연골손상 치료방법

초기 연골 손상은 연골 윤활 주사가 효과적이나
연골 손상이 진행된 경우에는 관절내시경을 이용한 연골 재생술이 필요합니다.

관절내시경이미지

관절내시경

관절 내시경은 무릎, 어깨를 비롯하여 최근에는 팔꿈치, 손목, 발목 등 작은 관절까지 적용되어 관절 질환의 진단 및 치료를 동시에 할 수 있는 매우 유용한 방법입니다.

5mm 정도의 피부 절개를 통해 초소형 카메라와 수술 도구가 부착된 내시경을 관절 내부로 삽입하여 정확한 병변을 먼저 확인하여 치료방법을 결정한 후 병변을 제거하거나 복원하는 치료를 합니다. 절개가 거의 없어 제한된 부위 내에서 수술을 시행하기 때문에 수술 난이도가 높은 경우가 많으므로 반드시 숙련된 내시경 전문가에게 수술을 받아야 만족스러운 결과를 기대할 수 있습니다.

    장점
  1. 추가적인 마취나 준비 없이 치료가 가능
  2. 피부 절개가 거의 없으며, 입원 기간이 짧아 회복이 빠름
  3. 수술 후 부작용이 적고, 재발률이 낮음
  4. 자기관절을 최대한 보존해 주며, 통증이 적음
  5. 절개 부위가 작아 고령의 환자도 부담 없이 수술 가능

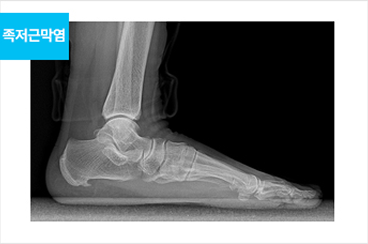
족저근막 유리술이란?

족저근막이 신경을 압박하는 주변 조직을 절개하고, 족저근막이 받는 부담을 낮춰 통증을 완화하는 수술입니다.
최소 절개로 흉터가 작고, 빠른 일상생활 복귀가 가능합니다.

아래화살표

발이 받는 부담이 줄어 들어 통증이 완화됩니다.

족저근막염

족저근막염 치료 전
족저근막염 치료 후

족저근막염이 생기는 원인

  • 조깅, 등산, 마라톤, 축구 및 농구와 같은 구기종목을 과도하게 할 경우
  • 딱딱한 바닥에서 장시간 서 있거나 반복적으로 점프할 때
  • 체중이 급격히 증가할 경우
  • 하이힐을 장시간 착용하고 보행할 경우

족저근막염 치료방법

바른마디 스토즈충격파가 해답입니다.

스토즈충격파

스토즈충격파

바른마디병원 스토즈 충격파 요법은 여러 근골격계 질환을 해결합니다. 석회화건염, 유착성 관절낭염(오십견), 테니스 엘보, 골프 엘보, 아킬레스건염 등에 특히 효과적입니다. 수술적인 치료 없이, 충격파 치료는 큰 통증 없이 염증이 발생한 부위에 바른마디병원 스토즈의 방사형(레디알) 충격파를 적용하여 작은 혈관들의 생성을 촉진하고, 손상된 조직이 더욱 튼튼하게 재생될 수 있도록 돕습니다.

단, 충격파 치료로도 호전되지 않는 만성 족저근막염의 경우, 관절내시경을 이용한 수술적 치료를 고려해야 합니다.

    장점
  1. 인체에 무해하며 비침습적인(즉, 피부를 절개하지 않는) 치료 방법
  2. 방사형 파장 에너지를 이용하여 통증 부위를 집중적으로 치료
  3. 약 5~10분 정도의 짧은 치료시간으로 입원이 필요 없음
  4. 절개와 마취가 필요하지 않아 부작용이 거의 없음
  5. 치료 후 빠르게 통증을 완화할 수 있음