Load

Load

본문 바로가기
Home> 관절센터 >고관절

고관절

관절센터

고관절

세계가 인정하는 의학기술을 가진 관절·척추병원 바른마디병원

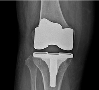
인공관절치환술이란?

연골이 손상되거나 퇴행성 변화로 인해 관절이 닳아 기능이 저하되었을 때,
손상된 부분을 제거하고 인공관절로 대체하는 수술입니다.

아래화살표

연골 손상이 지속되면 휴식 중에도 통증이 발생할 수 있으며, 약물치료, 주사치료, 물리치료 등의 보존적 치료에도 호전되지 않는 경우
인공관절치환술이 필요할 수 있습니다. 이 수술은 말기 관절염 환자나 무혈성 괴사 환자에게 적용됩니다.

무릎인공관절
엉덩이마디 질환
어깨 관절

인공관절치환술
장점

  1. 01통증 없이 관절 운동을 가능하게 하는 효과가 검증된 치료입니다.
  2. 02최근 신소재로 만든 인공관절은 마모가 거의 없어 관절의 수명이 향상되었습니다.
  3. 03여성 맞춤 인공관절이 개발되어, 통증을 경감시키고 회복 시간을 단축시켜 여성 환자들의 만족도를 높이고 있습니다.
  4. 03무릎뿐만 아니라 고관절(엉덩이관절), 어깨, 팔꿈치, 발목 등 다양한 관절에도 인공관절치환술이 가능합니다.